近日,吉林心脏病医院心外科团队为一名47岁肥厚型梗阻性心肌病患者成功施行左室流出道疏通术。患者术后恢复良好,已康复出院。

患者3年前无明显诱因在活动过程中间断性感觉胸闷、胸痛。期间,在其他医院行超声心动图提示“肥厚型梗阻性心肌病不除外”。既往高血压病史10年,且有家族史,未规律用药。

血压:145/87mmHg。
神清,精神可。全身无明显水肿。
双肺呼吸音清,未闻及明显干、湿啰音。
心界不大,胸骨左缘第三、四肋间可闻及3/6级收缩期心脏杂音,各瓣膜听诊区未闻及心包摩擦音。
腹平软,无包块,无压痛、反跳痛、肌紧张,肝、脾肋下未触及。双下肢无水肿。
心电图:窦性心律,V1-V5导联缺血性ST-T段压低,T波倒置。
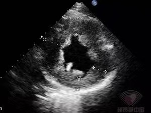
超声心动图:胸骨旁左室长轴切面可见左室壁明显肥厚,以室间隔和左室前壁肥厚为著。乳头肌水平室间隔最厚处约23.3mm,位于主动脉瓣下21mm处,前壁室壁厚21.5mm,侧壁室壁厚18.1mm,后壁室壁厚17.5mm。肥厚心肌运动僵硬。
心尖五腔心切面CDFI:左室流出道呈五彩镶嵌花色血流信号。
心尖五腔心切面CW:左室流出道最大瞬时流速和压差增大(Vmax:462cm/s,PG:85mmHg),频谱峰值后移。CW示左室流出道峰值流速462cm/s,PG:85mmHg。
术前超声心动图
术前彩色多普勒超声心动图
术前超声心动图
患者入院后完善各项术前检查,随后行左室流出道疏通术,心外科医生、麻醉医师等专家团队多学科协作完美配合,患者术程顺利,术后恢复良好。
术后复查超声心动图
患者术后状况良好,症状得到明显改善,已顺利出院。诊疗中吉心团队通力合作,科室全体医护人员秉承以患者为中心的吉心理念,不断开拓进取,为患者提供最精湛的技术和最贴心的服务。
未来,吉林心脏病医院专家团队会一如既往地凭借国内领先,省内一流的“心”技术,为更多的心脏患者解除“心”疾!