近日,吉心门诊收治了一名缺血性心肌病的55岁女患,在内外科医生默契配合下,患者得到了及时治疗,转危为安顺利出院。
患者刘女士因呼吸困难于我院门诊就诊,就诊时出现急性呼吸困难表现,端坐呼吸,由急诊转入重症监护病房。经吉心医生全面检查,明确患者为缺血性心肌病,急性冠脉综合征导致慢性心衰急性加重,急性肺水肿,并二尖瓣大量返流,情况十分危急。

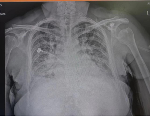
术前检查
缺血性心肌病(ischemic cardiomyopathy,ICM)是指由于长期心肌缺血导致心肌局限性或弥漫性纤维化,从而产生心脏收缩和(或)舒张功能受损,引起心脏扩大或僵硬、充血性心力衰竭、心律失常等一系列临床表现的临床综合征。
因患者情况危急,我院内外科医生团队快中求稳、稳中求准,详细讨论患者病情后为其行气管插管,置入IABP辅助心脏功能,并转入导管室急行冠状动脉造影检查,明确冠脉情况。
冠状动脉造影是目前诊断冠心病最准确、最有效的方法,也是目前唯一能直接观察冠状动脉形态的论断方法,医学界号称其为“金标准”。
冠状动脉造影结果明确患者为重度三支血管病变,前降支闭塞,回旋支重度狭窄,右冠重度狭窄。经过吉心团队研判后考虑患者二尖瓣大量返流为急性心肌缺血所致,于是决定为其行心脏支架植入术,在右冠与回旋支共植入三枚支架。在我院医疗团队的默契配合下,手术过程顺利,术后患者返回ICU,在IABP的辅助下给予充分镇静、扩冠、利尿等支持治疗。
因患者心功能极差,缺血再灌注损伤明显,术后第一天多次出现恶性心律失常,病情持续危重。在吉心ICU医生的严密监护下,患者各项生命体征逐渐好转,术后两天脱离IABP,术后三天脱离呼吸机,复查彩超心功能明显好转,患者转危为安,获得第二次生命。

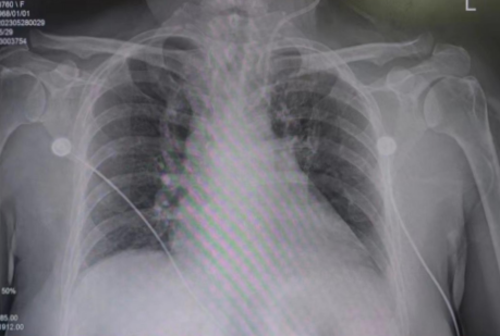
术后检查

此病例患者病情危急,在吉心团队的精准研判和全力配合下,转危为安,重获新生。未来,吉心将继续秉持“以患者为中心”的价值理念,坚持为心血管病人提供更优质的医疗服务。