近日,吉林心脏病医院接诊了一名缩窄性心包炎患者,并为其成功施行心包剥脱术。
该患者7个月前无明确诱因出现气短迹象,由于活动后症状加重,遂来我院就诊,行相关检查后明确诊断为“缩窄性心包炎”,随后入院进行手术治疗。
既往病史
入院查体
血压169/110mmHg,心率153次/分,节律规整,心前区无隆起,心尖搏动位于左侧第5肋间锁骨中线外约0.5cm,未见抬举样心尖搏动,心前区未触及震颤,叩诊心界无扩大,S1、S2正常,心尖听诊区未闻及杂音。
心电心彩(门诊检查)
心电图:窦性心动过速。
心脏彩超:EF:58%,左室大小正常,(EDV:79.3ml,ESV :32.7ml,SV:46.6ml),室间隔运动可见向两侧心室抖动。

术前超声心动图

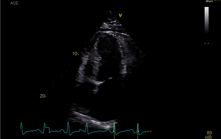
术前超声心动图
诊断:缩窄性心包炎、左室舒张功能减低、右室舒张功能减低。
患者入院后完善了术前检查,于全麻下进行了心包剥脱术。


主刀医生:心脏外科主任Lemma
吉林心脏病医院心外科联合心内科、麻醉科等科室在手术前进行了联合会诊。考虑到患者术中、术后再次脑梗塞的可能性很高,麻醉和体外循环提前做好了各种应对准备,术后ICU监护更加注意血管活性药物的合理应用,防止血压的过度波动。


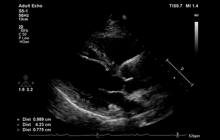
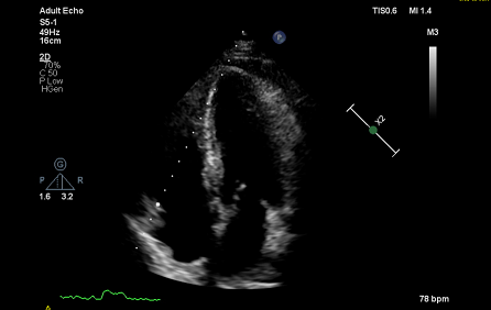
术后超声心动图
患者在院全程积极配合治疗,吉心团队密切协作,以流畅娴熟的技术完成了手术。术后患者状况良好,症状得到改善。
此次手术的成功实施,为吉林心脏病医院积累了治疗复杂病史患者的宝贵临床经验,吉心也将不断提高医疗技术水平,为广大患者提供更优质的诊疗服务。