近日,吉心接诊了一位持续胸痛3小时的急性心肌梗死患者。紧急情况下,吉心心内科冷静处理,根据实际情况采取合适的治疗方式,成功使患者转危为安。
患者入院3小时前无诱因突发胸痛症状,呈压榨性,放射至后背伴大汗,于当地医院行心电图诊断为“急性心肌梗死”,并给予相应药物缓解患者疼痛症状(具体治疗剂量不详)。急诊转入我院,仍存在胸痛症状,持续不缓解,情况十分危险。
男性患者,51岁,有高血压病史10年,最高可达170/120mmHg,自用药物调控血压(具体治疗药物及剂量不详);糖尿病病史2年,饮食调控血糖;有吸烟史,未戒烟。
血压 169/90mmHg,叩诊心界无扩大;心率80次/分,节律规整,各瓣膜听诊区未闻及杂音 ;心电图:窦性心律,V1-V6导联ST段抬高。
ST段抬高是心电图检查结果中的一种结果分析,是指心电图波形上ST段出现抬高,往往预示着存在急性心肌缺血,甚至心肌梗死。

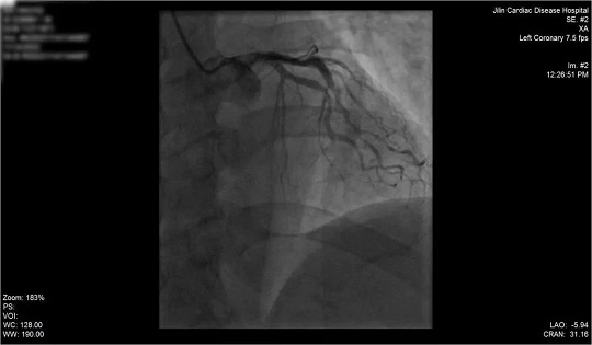
术前冠脉造影
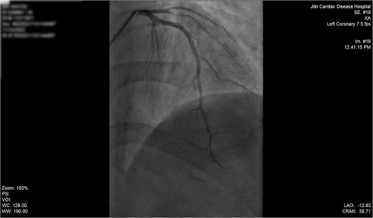
入院后,我院心内科团队争分夺秒进行救治,第一时间为患者行冠状动脉造影检查,锁定冠状动脉左前降支为罪犯血管,心内科Sirbu医生当机立断,为患者先进行冠状动脉血栓抽吸术,将血管中血栓吸出,随后成功于病变处植入1枚支架。从入院到抢救成功,仅用时50分钟。
患者术后状态良好,穿刺点无出血、渗血,无不适主诉,生命体征平稳,于病情好转后出院。
术后冠脉造影

此次急性心梗患者的救治,再次体现了吉心在急性心血管疾病救治方面的过硬实力,也体现出吉心心内科团队精湛的医疗技术和丰富的救治经验。今后吉心将精益求精,为广大心脏病患者生命健康保驾护航。