患者于女士来吉心就诊前曾有长达6年的胸闷气短史,多次就诊于当地医院,经治疗后症状有所缓解,但未成功根治。近一周胸闷气短症状加重,夜间不能平卧,遂转入吉林心脏病医院接受治疗。
患者于女士初到我院时病情较为严重,除胸闷气短症状外,吉心门诊医生还发现患者双下肢有轻度浮肿。入院查体结果显示,患者血压110/56mmHg,双肺可闻及湿啰音,心率112次/分,心率绝对不整,心尖部可闻及收缩期杂音。患者情况严重,引起医生高度重视。
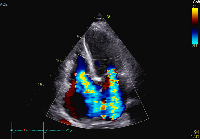
患者自述于其他医院诊断为扩张型心肌病,为进一步确认病情,吉心影像科医生为于女士进行了细致的检查。患者心电图结果显示心律失常,心房颤动,心脏彩超结果显示全心增大,二尖瓣回声增强增厚,瓣叶开放略受限,瓣叶关闭对合不良,三尖瓣开放幅度正常,关闭对合不良,左室及右室运动幅度减低。心脏超声结果显示二尖瓣关闭不全、三尖瓣关闭不全、左室收缩及舒张功能减低,右室收缩及舒张功能减低。
术前彩超影像
术前彩超影像
综合检查结果,患者被诊断为风湿性心脏瓣膜病,二尖瓣关闭重度不全、三尖瓣重度关闭不全、心律失常-心房颤动、心功能Ⅲ级。患者入院后,吉心外籍专家团队及时为其纠正心功能,将治疗方向引回正轨,患者症状得到明显改善。
经过一段时间的对症治疗,患者症状有所缓解,但复查结果显示二尖瓣及三尖瓣仍为重度关闭不全,经心外科团队共同探讨,患者具备外科手术指征,决定在全麻体外循环下行二尖瓣置换术、三尖瓣成形术、左心耳缝合术 。术后患者恢复良好,现已治愈出院。
术后彩超影像
术后彩超影像

吉林心脏病医院拥有多位全职国际权威医疗专家,与近300位国内医务精英共同组成了国际水准的专家医疗团队。吉心以多学科联合会诊为特色,始终坚持为患者定制专属诊疗方案,用专业和实力不断为更多心脏病患者送去健康。