近日,吉心心内科成功为一位高危冠心病患者实施了左主干冠脉支架植入手术,用精湛医术为患者拆除了埋在心脏中的“定时炸弹”。
患者为女性,75岁,常年受胸痛折磨,严重影响生活质量。来到吉心就诊后,经检查发现冠状动脉血管病变严重,若不尽快进行手术,随时可能有生命危险。

患者冠脉血管病严重,同时合并巨大胸内甲状腺肿,已压迫气管,进行外科手术面临很高的风险。针对上述情况,吉心团队高度重视,针对患者病情组织多学科联合讨论,决定为其进行内科介入治疗,并对治疗的风险和可能获益进行全面评估,以确定最佳方案。
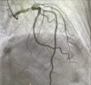
然而,介入手术同样存在风险:患者病变部位为左主干动脉,生理结构非常特殊,手术中容易发生心律失常,甚至心脏骤停,对医生技术及相关支持要求极高。
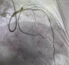
经过全方位的术前准备后,在心外科、麻醉科、体外循环随时做好抢救性手术的情况下,为患者施行冠脉支架植入术。手术中,心内科Lavarra主任在患者左主干-前降支、回旋支、前降支病变处分别植入1枚支架,整个过程用时80分钟,患者未出现任何不适。术后患者的胸痛症状得到缓解,于3日后出院。
术前冠脉造影图像 术后冠脉造影图像

此次手术的成功实施,为患者带来新生的同时,也为吉心积累了微创介入治疗高风险冠脉血管病变的宝贵经验。未来,吉心将不断提高医疗技术水平,为广大患者的心脏健康保驾护航。